عمرها 82 وتحمل جنينا متحجرا عمره 40 عاما
منوعاتديسمبر 13, 2013, 12:06 ص 1401 مشاهدات 0
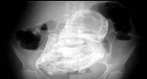
أدخلت امرأة كولومبية تبلغ من العمر 82 عاماً المستشفى الاثنين الماضي وهي تعاني من آلام في أحشائها، حيث كانت تعاني من الإسهال.
غير أن ما اكتشفه الأطباء في مستشفى تونخويليتو في العاصمة بوغوتا أذهلهم بعد أن تبين أنها تعاني من حالة نادرة يطلق عليها اسم 'الجنين المتحجر'.
وتحدث هذه الظاهرة عندما يموت الجنين خلال الحمل خارج الرحم، لكنه يكون كبيراً بحيث لا يمكن للجسم أن يخرجه، ثم يصاب بالتكلس، أي يغطيه الكالسيوم.
وعلى الفور حول الأطباء المرأة العجوز إلى قسم الجراحة لإخراج الجنين المتحجر منذ ما يقرب الأربعين عاماً.
الآن : وكالات

تعليقات